2023年3月23日,必威西汉姆联官网朱斌教授团队在国际微生物领域著名期刊《Microbiology Spectrum》发表题为“A unique m6A-dependent restriction endonuclease from an archaeal virus”的研究论文。
论文链接:https://journals.asm.org/doi/epub/10.1128/spectrum.04262-22
限制修饰系统是原核生物对抗病毒最主要的免疫系统,其中的DNA切割元件限制性内切酶奠基了DNA重组技术,被授予诺贝尔奖,是重要的分子生物学工具酶。绝大多数限制性内切酶特异性切割不带有修饰的病毒基因组而不切割带有修饰的宿主菌基因组。但是有些病毒通过给自己的DNA加上修饰以逃逸限制修饰系统。作为军备竞赛,宿主菌也进化出一些专门识别带有修饰的DNA位点的限制性内切酶,称为修饰依赖限制性内切酶。已知修饰依赖限制性内切酶均来源于细菌和古菌,这其中又以识别胞嘧啶修饰位点(如5mC、5hmC、g5hmC)的酶为主,而专一性识别一类重要DNA修饰m6A的已知修饰依赖限制性内切酶仅有DpnI一个,DpnI也成为分子克隆和表观遗传分析的重要工具酶。
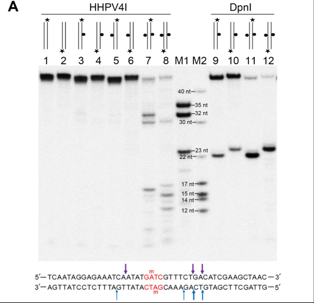
朱斌课题组通过分析Dpn I识别m6A的机制,根据有限的结构域同源性线索从近年来爆发性增长的环境微生物基因组中发掘可能识别m6A的新型工具酶,意外发现一种古菌病毒编码的未知功能蛋白质HHPV4I具有可能识别m6A的结构域,但总体序列与结构与DpnI差异较大。通过对重组蛋白质的详尽生化和酶学分析,课题组发现HHPV4I确实是一种新颖修饰依赖限制性内切酶,并展示了HHPV4I的识别与切割特异性。HHPV4I与DpnI一样专一识别Gm6ATC修饰序列,但切割方式截然不同:DpnI在Gm6ATC位点中央进行切割,产生两个DNA平末端;而HHPV4I在Gm6ATC位点两侧一定距离处同时切割,将包含位点在内的短DNA片段切出。进一步发现HHPV4I识别m6A的结构域中的点突变可以改变识别序列的专一性。


HHPV4I是目前已知唯一来源于病毒的修饰依赖限制性内切酶、DpnI之后第二个专一性切割m6A位点的限制性内切酶、也是唯一从m6A位点两侧同时切割的限制性内切酶。基于HHPV4I高度特异的酶学特点,课题组将进一步探索其生物学意义并开发其应用价值。
必威西汉姆联官网必威西汉姆联官网博士研究生陆雪玲与博士后黄锋涛为论文共同第一作者,必威西汉姆联官网为论文第一单位,必威西汉姆联官网必威西汉姆联官网博士后黄锋涛与朱斌教授为通讯作者。本研究受到国家自然科学基金原创探索项目及深圳市基础研究重点项目支持。