撰写人:高庆璇

图1 于Seeburger See的船上作业的合影(部分)
不知不觉,我们来到Xlab已是第四天,我们已经逐渐习惯了早起和早餐,起初新奇的公交车和过路街景也逐渐熟悉了起来,今日仍是忙碌且充实的一天。
在Xlab,我们上了一堂理论和实践结合的湖泊生态系统课。首先,在研讨室中我们学习了理论知识。从生态系统的组成和生物体间的相互作用等基础知识开始,逐渐过渡到湖泊生态的特点,包括不同季节的温度热分层现象、不同深度湖水中O2含量和PH特点与水质状态的关系等。夏季恰好处于湖水有分层现象的阶段,此时由于温度差异引起分层,湖上层(Epilimnion)、变温层(Metalimnion)和均温层(Hypolimnion)之间没有循环的物质交流,正是适合分析学习的阶段。
于是,伴随着明媚的阳光,我们乘车前往Seeburger See,分组划小船进行了实地数据测量。各小组分别测量了不同深度水的O2含量、PH、可见度,并在不同深度进行湖水采样。我们小组测量的是O2含量和PH,为了保证数据的可靠程度,需要测量流水,因此要用到水泵。先将泵头放入不同深度的水中,计时2分钟后方可进行测量(0m~4m,每0.5m测量一次)。此过程中,随着深度的不断增加,会有泥随着水流被吸入水泵,此时需将PH测量仪从流水中取出,但氧气含量仍可继续测量。除了学习很多实用测量方法之外,我们同时还学会了划船的技巧!

图2 途中 图3 划船

图4 于船上测量记录数据
下午的课程回到研讨室和实验室中进行,学习了如何分析水中的营养成分含量。首先过滤不同深度的样品,然后同学们分成几个小组,利用相应的试剂盒,通过与没有加入试剂的浅层水样品进行对比比色卡,分别测量每个深度的样品中NH4+、PO43-和NO3-的含量,探究湖的营养状态。自然情况下水体中P元素含量应该较少,多被藻类吸收利用,而N元素则有富余,积累在水中形成NO3-。而由我们的实验结果可知,此水体中P元素在各深度含量明显,而NO3-无法测出,但氧气浓度较为正常,说明此水体受到了一定程度的污染,但并没有到威胁生物正常生存的程度。且与去年的采样结果对比可知水体污染情况有所改善。

图5 在实验室中测量
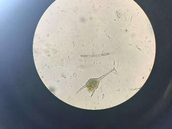
最后,我们使用显微镜观察所采样品中的浮游生物类型,对照浮游生物志查找对应。其中最多的为一种角藻Ceratium hirundineda, Dinoflagellata,还有很多其他藻类和浮游动物,但相对数量较少。图6~9为我组同学拍摄的两种藻类和两种浮游动物的照片。

