科研成果
首页  -  人才招聘  -  科研成果  -  正文
【科研动态】​必威西汉姆联官网李一伟教授团队Nature Communications:提出“力学-生化运算放大器”模型,揭示基于AXIN相分离的力学感知和双向调控类器官命运

来源:必威西汉姆联官网编辑:何雪梅 时间:2026-01-12 点击量:

细胞如何同时处理复杂的力学信号与生化信号,并据此决定自身的命运,是发育生物学与力员工物学的核心问题。尽管已知Wnt/β-catenin信号通路在其中扮演关键角色,但细胞如何将物理挤压与生化配体信号进行整合,一直未有定论。

2026年1月8日,必威西汉姆联官网​必威西汉姆联官网李一伟教授在《Nature Communications》期刊发表了题为 "Volumetric compression regulates the phase separation of AXIN and acts as an operational amplifier to bidirectionally modulate Wnt signaling in organoids" 的研究文章。

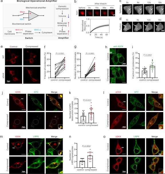
该研究首次提出了一种基于蛋白质相分离的“力学-生化运算放大器(Operational Amplifier)”模型。研究揭示了体积压缩信号如何通过调控支架蛋白AXIN的相分离行为,与Wnt生化信号发生耦合,从而调控Wnt信号通路的激活与抑制,并最终决定了健康肠道类器官与结直肠癌类器官截然不同的命运。这一发现为理解细胞如何整合复杂环境信息提供了全新的物理化学框架。

研究团队发现,AXIN蛋白不仅是信号转导的支架,其相分离状态对细胞内的分子拥挤度高度敏感。当细胞受到体积压缩时,胞内水分外流导致分子拥挤度增加,通过排阻体积效应驱动AXIN发生相分离。

基于此,团队提出了一个精妙的 “力学-生化运算放大器”模型:1)Wnt配体(生化输入)作为“输入选择开关”:它决定了AXIN相分离的亚细胞定位——有Wnt时位于细胞膜上(形成LRP6信号小体),无Wnt时位于细胞质中(形成APC降解复合体)。2)体积压缩(力学输入)作为“增益调节器”:它通过物理手段改变相分离的程度,从而放大该位置上的信号强度。

为了证实这一模型的分子细节,研究人员进一步检测了Wnt信号通路的下游核心指标。一系列分子生物学证据,从蛋白互作到基因表达层面,全方位证实了“运算放大器”对信号通路的精准调控。同时研究发现删除DAX结构域后,体积压缩对AXIN凝聚体形成、β-catenin调控以及Wnt靶基因表达的所有效应均受抑制,证明相分离是介导这一力学-生化整合的核心机制。

该研究进一步在类器官模型中验证了这一机制对细胞命运的调控作用。结果表明,通过体积压缩这一单纯的物理信号,可以利用细胞内在的生化线路差异,实现对健康组织和肿瘤组织截然不同的命运调控。

综上所述,该研究工作建立了一个相分离作为力学信号转导关键元件的新概念。该研究解析了细胞如何通过物理化学机制整合力学与生化信号,构建了一套精密的分子运算逻辑。这一发现不仅深化了我们对Wnt信号通路调控复杂性的理解,也为未来探索利用物理微环境调控干细胞分化、优化组织工程培养条件以及探索潜在的疾病干预策略提供了重要的理论依据和新视角。

必威西汉姆联官网李一伟教授为通讯作者,博士生石锦韵为第一作者。研究团队成员还包括来自武汉协和医院、武汉同济医院、湖北省中医院等单位的合作者。研究工作得到了国家重点研发计划、国家自然科学基金等项目的资助。

文章链接:https://www.nature.com/articles/s41467-025-68209-y

 

地址:中国湖北省武汉市洪山区关山街道珞喻东路415号(东11楼)   邮编:430074


版权所有   BETWAY·必威(西汉姆联)官方网站-West Ham United