科研成果
首页  -  人才招聘  -  科研成果  -  正文
【科研动态】​必威西汉姆联官网赵元弟/樊锦轩团队联合香港中文大学夏江团队合作开发基于内源性H2S分子的抗菌肽功能化膜伪装策略用于结直肠癌免疫治疗

来源:必威西汉姆联官网编辑:何雪梅 时间:2026-01-14 点击量:

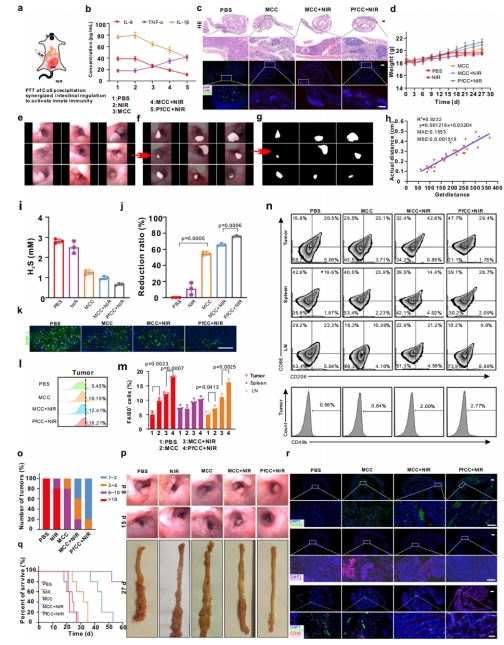
2026年1月3日,Nature Communications期刊报道了必威西汉姆联官网赵元弟教授、樊锦轩博士团队与香港中文大学夏江教授团队合作完成的研究论文“Peptide-functionalized membrane camouflage for endogenous H2S-induced photothermal immunotherapy of orthotopic colorectal cancer”,该研究报道了抗菌肽功能化的结直肠癌细胞膜包裹钴基金属有机框架(Co-MOF),借助肠道内源性H2S分子实现自上而下自发调控的结直肠肿瘤光热-免疫治疗协同新方案。香港中文大学夏江教授、必威西汉姆联官网赵元弟教授及樊锦轩博士为论文共同通讯作者。必威西汉姆联官网为第一完成单位。

传统结直肠癌(CRC)治疗以手术联合放化疗为主,但肿瘤异质性导致II、III期术后复发率高达35%-45%,且放化疗存在脱靶毒性。传统光热治疗面临深层穿透不足、温度难控的问题,难以发挥长效作用。同时,CRC中天然富含的内源性H₂S是一把“双刃剑”,高浓度下促癌促炎,且传统方法无法同时实现“清除+抑制生成”。同时,原位的CRC疗效评估缺乏精准量化工具。

为破解上述难题,团队构建了肽功能化伪装纳米平台(PfCC):以抗菌肽修饰的结直肠癌细胞膜伪装包覆可降解钴基MOF实现同源归巢靶向;在肿瘤酸性微环境下降解释放Co²⁺与抗菌肽,Co²⁺与内源性H₂S反应生成光热性能优异的CoS沉淀,抗菌肽则抑制脱硫弧菌等产硫菌;同步促进巨噬细胞从M2型向抑癌M1型极化,招募NK细胞激活先天免疫,结合AI大模型SAM开发的深度学习算法,实现通过内窥镜图像精准量化原位肿瘤疗效。

该研究突破传统治疗靶向性差、H₂S调控难、免疫激活不足的局限,通过“同源靶向-双重控硫-免疫激活-光热杀伤-AI 评估”的协同闭环,既解决了CRC免疫抑制微环境和复发转移问题,又实现疗效客观量化,为结直肠癌精准治疗提供了全新范式。

该研究得到了国家自然科学基金项目(62375093,62305121,62575109),中国博士后科学基金资助项目(2023T160247),湖北省重点研发计划项目(2024BCB058),湖北省自然科学基金(2025AFB559)以及中国老龄事业发展基金会乐龄领航计划科研基金项目(193)等支持。同时本研究获得黄冈市中心医院肿瘤中心的大力支持。

论文链接:https://www.nature.com/articles/s41467-025-65876-9

 

地址:中国湖北省武汉市洪山区关山街道珞喻东路415号(东11楼)   邮编:430074


版权所有   BETWAY·必威(西汉姆联)官方网站-West Ham United